
图片来自韩国《朝鲜日报》

图片来自韩国《朝鲜日报》

图片来自韩国《朝鲜日报》

图片来自韩国《朝鲜日报》
原标题:中国“恐龙女”上韩国整容节目变芭比娃娃
人民网9月6日讯 据韩国《朝鲜日报》消息,一名因下颌出奇地长而常常被嘲笑的中国少女,日前通过韩国整容节目重拾美丽。
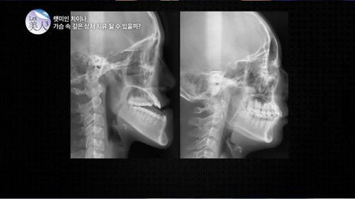
日前播出的Story on《Let美人》节目中,播出了该节目首次制作的《Let美人中国篇》。节目在众多报名者中选中了一名“兜齿少女”郭芳媛(音)——因为下颌出奇地长从小就被戏称为“外星人”。她虽然只有18岁,但自从3岁时从椅子上跌落后,上颚几乎不再生长,下颚却越长越长,成了如今“地包天”的样子。除相貌外,因牙齿咬合不齐,她咀嚼食物也很吃力。
经过60天的手术,郭芳媛的外貌完全改变,被节目称为“有了让人既羡慕又惊讶的芭比娃娃一样的脸”。郭芳媛父母对节目相关人士说:“我们都认不出女儿了,她的下巴好看多了。现在想来,把女儿送到韩国是个明智的决定。”